2025-12-01
根管治療後の再発率は高い?むし歯再発の原因や予防方法も解説
根管治療の再発:不安を解消する結論
根管治療(歯の根の治療)を終えたにもかかわらず、「また歯がズキズキと痛む」「歯茎が腫れてきた」といった症状が出ると、「根管治療の再発率は高いのではないか?」と不安になるのは当然のことです。
しかし、結論からお伝えすると、適切な治療とメインテナンスが行われていれば、根管治療の成功率は決して低いものではありません。
多くの研究では、初めての根管治療の成功率は70〜90%程度と報告されており、これは非常に高い数値です。ただし、「再発」するケースがあるのも事実です。この記事では、なぜ再発が起こるのか、その原因と、再発を防ぎ成功率を高めるための具体的な予防策を、歯科医師の視点から詳しく解説していきます。
大切な人にする歯科医療をあなたにを理念とする当院では、患者様が抱える不安を解消し、長期的に健康な歯を維持できるようサポートいたします。
根管治療後の「再発」とは?
「根管治療後にむし歯が再発する」という時、実は二つの異なる状態が考えられます。この違いを理解することが、適切な予防につながります。
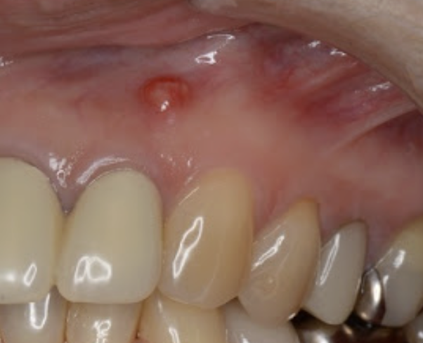
1. 根管内の再感染(根尖性歯周炎)
これは、一般的に根管治療の**「再発」**として認識されるケースです。
治療後、何らかの原因で根管内(歯の根の管)に再び細菌が侵入し、感染が広がる状態を指します。
-
症状: 歯の根の先端の骨が溶けたり、歯茎に膿が溜まったり腫れたり(フィステルと呼ばれる小さなニキビのようなもの)します。痛みがない場合もありますが、感染は進行しています。
-
専門用語: **根尖性歯周炎(こんせんせいししゅうえん)**と呼ばれます。
2. 二次的なむし歯の発生(二次カリエス)
これは、根管治療をした歯の詰め物や被せ物の境目、または別の部分から新たにむし歯ができる状態です。
-
症状: 詰め物や被せ物の隙間から細菌が侵入し、その下の歯質が溶けていきます。むし歯が進行すると、再び根管内に感染が及ぶ可能性もあります。
-
専門用語: 二次カリエスと呼ばれます。
どちらのケースも、放置すれば歯を失う原因となるため、「根管治療後 痛み」や「歯茎の腫れ」を感じたら、すぐに歯科医院を受診することが重要です。
根管治療が再発する主な原因
根管治療の成功率は高い一方、再発するケースには明確な原因があります。これらの原因のほとんどは、治療時の精度と治療後のケアに深く関わっています。
1. 根管内の細菌の取り残し
根管治療の目的は、歯の根の中にある感染した神経や細菌を完全に除去し、きれいに密閉することです。しかし、根管は非常に複雑な構造をしており、肉眼では確認できないような細い管や枝分かれした部分が存在します。
-
複雑な根管: 完全に感染源を除去できなかった場合、取り残された細菌が時間と共に増殖し、再感染(根尖性歯周炎)を引き起こします。
-
原因: 肉眼や通常の拡大鏡では、複雑な根管の細部まで確認しきれないことがあります。
2. 詰め物・被せ物の不適合(マージンリーク)
根管治療後の最終的な被せ物(クラウン)や詰め物(インレー)の精度は、再発予防において極めて重要です。
-
隙間の発生: 詰め物や被せ物が歯と完全に密着していないと、目に見えないほどのわずかな**隙間(マージン)**ができます。
-
細菌の侵入: この隙間から唾液や細菌が根管内に侵入し、二次感染を引き起こしたり、二次カリエスの原因となったりします。
-
予防の重要性: 精度の高い被せ物・詰め物で、根管への細菌の再侵入を防ぐことが、再発予防の鍵となります。
3. 新たなむし歯(二次カリエス)の発生
根管治療をした歯は、神経がないため、むし歯になっても痛みを感じません。そのため、自覚症状がないままむし歯が進行し、被せ物の下で大きな穴が開いてしまうことがあります。
-
自覚症状の欠如: 痛みが警告として機能しないため、定期的な歯科検診を受けていないと発見が遅れがちです。
4. 歯の亀裂(クラック)や破折
治療した歯に強い力がかかったり、元々歯に微細な亀裂が入っていたりすると、それが時間経過とともに進行し、歯の根っこが割れてしまうことがあります。
-
細菌の侵入: 歯の亀裂から細菌が一気に根管内に侵入し、治療の成功率を大きく低下させます。
-
抜歯のリスク: 歯の根が割れてしまうと、多くの場合、抜歯が避けられなくなります。
再発を防ぐ!成功率を上げるための予防と対策
根管治療の成功率を高め、再発を最大限に防ぐためには、**歯科医院での「精密な治療」とご自宅での「適切なケア」**の両方が不可欠です。
1. 精密な根管治療の選択(治療の質を高める)
再発の最大の原因である細菌の取り残しを防ぐには、歯科医院側の技術と設備が重要です。
A. マイクロスコープを用いた精密治療
-
肉眼の限界克服: マイクロスコープ(歯科用顕微鏡)は、治療部位を肉眼の最大20倍以上に拡大して見ることができます。
-
細菌の徹底除去: これにより、複雑で細い根管の隅々まで確認しながら感染源を取り除き、治療精度を格段に向上させることが可能です。
-
成功率の向上: マイクロスコープを使用しない治療に比べ、成功率が向上するという報告が多くあります。
B. ラバーダム防湿・クランプの使用
-
細菌の遮断: 治療する歯以外をゴムのシートで覆う(ラバーダム防湿)ことで、唾液に含まれる細菌が治療中の根管内に入るのを防ぎます。
-
感染の防止: 根管治療は無菌的な環境下で行うことが成功の絶対条件であり、ラバーダムは感染予防に不可欠です。
C. CT画像診断の活用
-
立体的な把握: 歯科用CTを使用することで、レントゲンでは分かりにくい根管の数や形、病巣の大きさや位置を立体的に把握できます。
-
診断精度の向上: 正確な診断により、治療方針を誤ることなく、確実な治療計画を立てることができます。
2. 高精度な補綴物(詰め物・被せ物)の選択
根管治療後の歯を守る**「蓋」の役割を果たす詰め物や被せ物は、再発予防の最終防衛ライン**です。
A. 適合性の高い補綴物

-
精度の追求: セラミックやジルコニアなど、適合性の高い材料と精密な型取り(口腔内スキャナーなど)を用いることで、歯との境目に隙間ができないようにします。
-
二次カリエス予防: 隙間がなければ、細菌の侵入を防ぎ、二次カリエスのリスクを最小限に抑えられます。
B. 歯を保護するクラウン(被せ物)の選択
-
歯の補強: 根管治療後の歯は、神経を失い、削る量が多いため非常にもろくなっています。クラウンで歯全体を覆い、噛む力から守ることで、歯の亀裂や破折を防ぎます。
3. 日々のセルフケアの徹底
根管治療 予防の基本は、毎日のご自宅での丁寧なケアです。
-
歯垢の除去: 詰め物や被せ物の境目に歯垢(プラーク)を残さないよう、フロスや歯間ブラシも併用し、丁寧な歯磨きを心がけてください。
4. 定期的なメインテナンス(再発リスクの早期発見)
根管治療をした歯は、痛みの自覚がないため、再発が静かに進行することがあります。
-
検診の重要性: 3〜6ヶ月に一度の定期検診とプロフェッショナルクリーニングは、二次カリエスや根管内の再感染を早期に発見し、簡単な処置で対応できる段階で治療をスタートするために不可欠です。
-
専門家によるチェック: 定期的なレントゲン撮影や口腔内チェックにより、「根管治療後 痛み」が出る前の小さな変化を見逃しません。
よくある疑問と&DENTAL谷町4丁目歯科・矯正歯科からのメッセージ
「根管治療 再発」に関して、患者様からよくいただく疑問にお答えします。
Q1. 根管治療後に痛みが出たら、すぐに再発ですか?
根管治療後、数日から数週間は、治療の刺激による一時的な違和感や鈍い痛みが出ることがあります。これは**「フレアアップ」と呼ばれ、再発とは限りません。しかし、痛みが強くなる**、長期間続く、歯茎の腫れや膿を伴う場合は、感染が残っている可能性(根管治療 再発 原因)があります。すぐに当院にご連絡ください。
Q2. 根管治療後の歯でも、むし歯になりますか?
はい、なります。根管治療をした歯は、歯の表面にあるエナメル質やセメント質、そして被せ物と歯の境目に、新たなむし歯(二次カリエス)が発生します。神経がないため痛みを感じず進行しやすい分、より厳重な注意と予防が必要です。
Q3. 再発してしまった場合、どうすれば良いですか?
再発した場合は、**再根管治療(感染根管治療)**が必要です。
当院では、マイクロスコープやCTを活用し、徹底した検査のもとで、以前の治療で取り残された感染源を丁寧に除去します。再治療は初回よりも難易度が上がりますが、諦めずに精密な治療を受けることで、歯の保存を目指します。
大阪市中央区で精密な根管治療をご検討中の方へ、&DENTAL谷町4丁目歯科・矯正歯科からのメッセージです。
当院の診療理念は「大切な人にする歯科医療をあなたに」です。この理念に基づき、患者様の大切な歯を長期的に守るため、私たちは以下の取り組みを徹底しています。
-
マイクロスコープ・CTによる精密治療: 高い倍率で患部を確認し、複雑な根管治療 再発 原因となりやすい細菌の取り残しを最小限に抑えます。
-
ラバーダム・クランプでの防湿の徹底: 根管治療の成功に不可欠な、無菌的な治療環境を整備しています。
-
専門性の高い歯科医師による治療: 経験豊富な歯科医師が、難症例にも丁寧に対応し、根管治療 成功率の向上に努めます。
根管治療後の再発の不安を解消し、ご自身の歯で長く快適に過ごしていただくために、質の高い治療とメインテナンスを&DENTAL谷町4丁目歯科・矯正歯科で始めませんか。
平日・土日も診療しており、お仕事などで忙しい方にも通いやすい体制を整えております。
お気軽にご相談、ご来院ください。
&DENTAL谷町4丁目歯科・矯正歯科

| 所在地 | 大阪府大阪市中央区常盤町2丁目1番13号アドバンスビル本町1階 |
| アクセス | 谷町四丁目駅6番出口から徒歩4分・堺筋本町駅2番出口から徒歩6分 |
| 診療時間 | 平日・土日診療(祝日・GW・お盆休み・年末年始休みを除く) |
| 電話番号 | 06-4397-4350 |
| ホームページ | https://and-dc.com/ |
ご予約はこちら:https://reservation.stransa.co.jp/481daca4e28190fc77902ea6b6991bcb

